-
목차
발등 통증은 단순한 발 피로나 신발 압박에서 오는 것처럼 보일 수 있지만, 그 안에는 다양한 의학적 원인이 숨어 있습니다. 특히 발등 통증 원인은 염좌, 피로골절, 건염, 관절염, 신경 압박 등 매우 다양하며, 이를 무심코 넘길 경우 만성 통증이나 보행장애로 이어질 수 있습니다. 오늘은 발등 통증의 대표 질환별 증상과 자가진단법, 병원 진료 기준, 치료 및 관리 방법까지 자세하게 안내해드리겠습니다.



발등 통증 원인 발등 통증은 왜 발생할까?
발등은 걷기, 뛰기, 서기 등의 기본 동작에서 반복적인 압력을 받는 부위입니다. 이 때문에 다양한 원인으로 인해 쉽게 통증이 발생할 수 있습니다. '발등 통증 원인'은 단순히 신발 문제일 수도 있지만, 뼈, 근육, 인대, 신경, 혈관 등 다양한 조직과 구조물의 문제로 인해 발생하기도 합니다.
발등 통증 원인 정리 전 확인할 포인트
- 통증이 시작된 시점은 언제인가?
- 특정 행동(걷기, 뛰기, 신발 착용 등)과 연관 있는가?
- 통증이 심해지는 시간대가 있는가?
- 부기나 열감이 동반되는가?
이런 기본 정보를 먼저 정리하면 발등 통증 원인을 보다 정확하게 파악할 수 있습니다.
발등 통증 원인 7가지
① 신발 압박과 피로 누적
가장 흔한 발등 통증 원인은 신발의 형태와 착용 시간입니다. 특히 너무 꽉 끼거나 앞코가 좁은 신발은 발등을 지속적으로 압박하여 혈액순환을 방해하고 통증을 유발합니다. 또한, 하루 종일 서 있는 직업이나 오래 걷는 습관은 발의 피로를 누적시켜 발등 통증 원인이 됩니다.
② 염좌(인대 손상)
발을 잘못 디디거나 운동 중 발등에 충격이 가해지면 인대가 늘어나거나 손상될 수 있습니다. 이 경우 염좌가 발생하며, 발등 부위가 붓고 통증이 동반됩니다. 특히 발등을 꺾는 동작에서 통증이 심해지는 경우 염좌가 발등 통증 원인일 가능성이 큽니다.
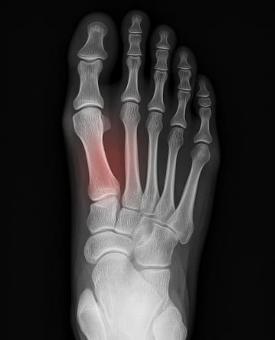
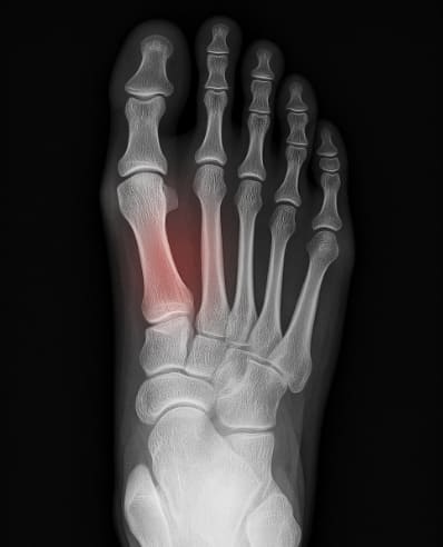
③ 피로골절
과도한 걷기, 달리기, 트레킹, 군화 착용 등의 반복적인 하중이 발등 뼈에 미세한 균열을 만들어 피로골절이 발생할 수 있습니다. 보통 X-ray 초기 검사에서는 잘 드러나지 않아 놓치기 쉽지만, 통증이 점차 심해지며 오래 지속되는 경우 피로골절을 의심해야 합니다.
④ 건염과 관절염
발등에는 힘줄(건)과 관절이 많이 분포되어 있습니다. 이 부위에 염증이 생기면 걷기나 서 있기만 해도 심한 통증이 유발됩니다. 특히 관절염이 있는 경우 아침에 뻣뻣함을 느끼고, 걸을수록 통증이 심해지는 양상을 보입니다. 류마티스 관절염, 통풍 등이 대표적인 발등 통증 원인 중 하나입니다.
⑤ 신경 압박
발등을 지나는 신경이 눌리거나 자극을 받으면, 찌릿하거나 화끈한 통증이 발생합니다. 특히 심부비골신경이 눌리는 경우 발등 전체에 통증이 퍼지며 감각 이상이 동반될 수 있습니다. 외상이나 무리한 체중 하중이 주된 발등 통증 원인입니다.
⑥ 족저근막염의 연관 통증
족저근막염은 보통 발바닥에서 시작되지만, 통증이 발등 쪽으로 퍼지기도 합니다. 특히 아침 첫 발을 디딜 때 발바닥과 함께 발등 통증이 느껴지는 경우 족저근막염이 발등 통증 원인이 될 수 있습니다.
⑦ 혈액순환 장애
다리나 발등의 혈액순환이 원활하지 않을 경우, 통증과 함께 발등 붓기나 저림 증상이 동반될 수 있습니다. 당뇨병, 정맥류, 말초동맥질환 등이 혈류 저하의 대표적인 발등 통증 원인입니다.



발등 통증 원인 발등 통증 자가진단 체크리스트
- 통증 부위에 붓기 또는 멍이 있다
- 신발을 신을 때 통증이 심하다
- 걷거나 뛸 때만 아프다
- 일정 부위가 누르면 아프다
- 통증과 함께 저림 또는 감각 이상이 있다
- 오래 서 있으면 통증이 심해진다
- 아침에 첫 걸음이 가장 아프다
3가지 이상 해당된다면 전문 진료가 필요합니다.
발등 통증 병원 진료 기준과 검사
병원에서는 다음과 같은 방식으로 발등 통증 원인을 진단합니다.
- 문진: 통증 발생 시점과 양상 확인
- 촉진 및 관절 가동성 검사
- X-ray, MRI, 초음파: 뼈, 근육, 인대, 신경 상태 확인
- 혈액검사: 염증 수치, 류마티스 항체, 요산 수치 등 확인
발등 통증 치료 방법 및 회복 전략
- 비수술 치료
- 냉찜질, 압박붕대, 휴식
- 소염진통제 및 염증 억제제
- 물리치료, 도수치료, 체외충격파 치료
- 수술적 치료
- 인대 파열 또는 심한 골절 시 시행
- 재활 운동
- 발등 근육 강화 스트레칭
- 걷기 자세 교정, 밸런스 운동
발등 통증 예방을 위한 생활 습관
- 발에 맞는 신발 착용 (충격 흡수력 있는 깔창 추천)
- 운동 전후 발 스트레칭 필수
- 일정 시간마다 발을 들어 순환 개선
- 체중 조절
- 장시간 서 있는 환경에서는 발받침 사용



발등 통증 원인 


발등 통증 원인 


발등 통증 원인 발등 통증은 단순히 지나갈 문제가 아닙니다. 정확한 발등 통증 원인을 파악하고 조기에 진단받아야 증상이 만성화되는 것을 막을 수 있습니다. 꾸준한 관리와 생활 습관의 변화가 중요하며, 증상이 반복된다면 꼭 병원을 찾아 정밀 진료를 받아야 합니다.
'건강TIP' 카테고리의 다른 글
척추관 협착증 운동법과 치료방법 (1) 2025.06.30 신우신염 증상과 원인 (1) 2025.06.29 목디스크 증상과 치료방법 (1) 2025.06.27 고관절통증 증상과 원인 (0) 2025.06.26 햇빛 알레르기 증상과 없애는방법 (0) 2025.06.25