-
목차
폐암 초기증상은 기침, 혈담, 호흡곤란, 체중 감소 등 비교적 흔한 증상으로 시작되지만 이를 무시하면 병이 빠르게 진행될 수 있습니다. 폐암 초기증상을 정확히 알고 조기에 발견하는 것이 생존율을 높이는 핵심입니다. 오늘은 폐암 초기증상을 구체적으로 설명하고, 진단 및 예방법까지 안내해드리겠습니다.



폐암 초기증상 폐암 초기증상이란 무엇인가?
폐암 초기증상이란 폐에서 발생하는 암세포가 아직 크지 않고 주변 조직이나 장기로 전이되지 않았을 때 나타나는 증상을 말합니다. 폐암 초기증상은 뚜렷하지 않아 단순 감기나 피로로 오해하기 쉽습니다. 그러나 폐암 초기증상을 조기에 발견하면 치료 성과가 크게 달라집니다.
폐암 초기증상이 중요한 이유
폐암은 진행 속도가 빠르고 전이 가능성이 높습니다. 따라서 폐암 초기증상을 아는 것은 생존율 향상에 결정적입니다. 폐암 초기증상을 무시하면 병이 진행되어 발견될 때는 이미 수술이 불가능한 경우가 많습니다. 즉, 폐암 초기증상에 대한 관심과 조기 발견은 생명을 지키는 핵심 요소입니다.
폐암 초기증상의 주요 특징
폐암 초기증상은 일반적인 호흡기 질환과 유사해 구별이 어렵습니다. 하지만 지속 기간과 강도를 통해 구분할 수 있습니다.
- 지속적인 기침: 3주 이상 낫지 않는 기침.
- 호흡곤란: 평소보다 숨이 차는 느낌.
- 혈담: 가래에 피가 섞여 나옴.
- 체중 감소: 원인 없는 급격한 체중 감소.
이런 폐암 초기증상이 반복되거나 악화되면 반드시 검진을 받아야 합니다.



폐암 초기증상 


폐암 초기증상 폐암 초기증상 – 기침과 관련된 변화
폐암 초기증상 중 가장 흔한 것이 기침입니다. 일반적인 감기 기침은 1~2주 내에 호전되지만, 폐암 초기증상에서 기침은 지속적이고 점점 심해집니다. 또한 가래와 함께 피가 섞이거나, 기침할 때 흉통이 동반되는 경우도 많습니다. 따라서 기침이 오래 지속된다면 폐암 초기증상을 의심해야 합니다.
폐암 초기증상 – 호흡과 관련된 변화
폐암 초기증상에서는 호흡곤란이 자주 발생합니다. 폐에 종양이 생기면 기도가 좁아져 숨이 차고, 계단을 오르거나 가벼운 활동에도 호흡이 힘들어집니다. 이는 초기에는 가볍지만 점점 악화되는 특징이 있습니다. 따라서 갑자기 나타난 호흡곤란은 폐암 초기증상을 알리는 신호일 수 있습니다.
폐암 초기증상 – 체중과 피로의 변화
폐암 초기증상으로 체중이 이유 없이 줄어드는 경우가 많습니다. 이는 암세포가 에너지를 소비하고 대사 이상을 유발하기 때문입니다. 또한 극심한 피로가 동반되며, 충분히 쉬어도 피로가 풀리지 않습니다. 이는 단순 피로와 달리 점점 심해지는 것이 폐암 초기증상의 특징입니다.
폐암 초기증상 – 가슴 통증과 음성 변화
폐암 초기증상에서는 흉통이 나타날 수 있습니다. 이는 종양이 폐 주변 신경이나 흉막을 자극할 때 발생합니다. 또한 성대 신경을 압박하면서 목소리가 변하거나 쉰 목소리가 지속될 수도 있습니다. 이러한 변화가 2주 이상 지속된다면 폐암 초기증상을 의심해볼 필요가 있습니다.



폐암 초기증상 


폐암 초기증상 폐암 초기증상 – 혈담과 객혈
폐암 초기증상 중 가장 심각하게 봐야 할 것이 혈담입니다. 가래나 기침에 피가 섞여 나오는 경우는 폐 내부 혈관 손상과 관련이 있습니다. 객혈은 폐암 초기증상이 진행되고 있다는 강력한 신호이므로, 즉시 병원 진료가 필요합니다.
폐암 초기증상을 놓치기 쉬운 이유
폐암 초기증상은 감기, 기관지염, 폐렴과 매우 유사합니다. 따라서 환자 스스로 폐암 초기증상이라고 인식하지 못하고 지나치는 경우가 많습니다. 또, 증상이 나타나더라도 흡연자들은 단순한 흡연 후유증으로 오해하는 경우가 많습니다. 이로 인해 폐암 초기증상 발견이 늦어지는 것입니다.
폐암 초기증상 발견 시 대처 방법
폐암 초기증상이 의심된다면 지체하지 말고 병원에서 검진을 받아야 합니다.
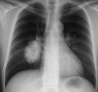
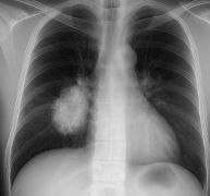
- 흉부 X-ray 검사: 폐 구조 확인.
- 저선량 CT 검사: 조기 폐암 진단에 효과적.
- 세포검사: 가래나 기관지 세포를 검사해 암세포 여부 확인.
폐암 초기증상 발견 시 빠른 진단이 생존율을 크게 높입니다.
폐암 초기증상 예방을 위한 생활습관
폐암 초기증상 예방은 생활습관 개선에서 시작됩니다.
- 금연: 흡연은 폐암의 가장 큰 원인.
- 균형 잡힌 식단: 항산화 성분이 풍부한 채소와 과일 섭취.
- 규칙적인 운동: 면역력 강화.
- 정기검진: 고위험군은 매년 CT 검사.
이러한 관리로 폐암 초기증상 발생 위험을 낮출 수 있습니다.



폐암 초기증상 


폐암 초기증상 


폐암 초기증상 


폐암 초기증상 


폐암 초기증상 폐암 초기증상은 흔한 증상과 비슷해 쉽게 무시되지만, 조기 발견 여부가 생존율을 좌우합니다. 기침, 혈담, 호흡곤란, 체중 감소 같은 폐암 초기증상이 나타나면 즉시 검진을 받아야 합니다. 조기 진단과 치료가 폐암 초기증상으로부터 생명을 지키는 가장 확실한 방법입니다.
함께 보면 좋은 글
대사 증후군 이란
대사 증후군 이란 여러 대사질환이 동시에 나타나는 상태를 말하며, 고혈압, 복부비만, 고지혈증, 공복혈당 상승 등 다양한 위험 요소가 복합적으로 작용해 심혈관질환이나 당뇨병 발생 위험을
dreams-chance.com
소변이 자주 마려운 증상, 이유와 자가치료법, 병원은 언제?
소변이 자주 마려운 증상은 누구나 겪을 수 있는 흔한 증상이지만, 원인을 정확히 파악하지 않으면 일상생활에 큰 불편을 초래할 수 있습니다. 소변이 자주 마려운 이유는 과민성 방광, 감염, 당
dreams-chance.com
백내장 증상
백내장 증상은 초기에는 미묘하게 시작되지만, 진행되면 시야 흐림, 눈부심, 색감 변화, 복시 등으로 일상생활에 큰 불편을 줍니다. 따라서 조기 진단과 생활 관리로 시력 저하를 막아야 합니다.
dreams-chance.com